“MS gibi Kısaltılmış Sözcükler, yargıda ve toplumda Hastalık Algısını Hafifletir mi?”
Çağın Hastalığı: Multipl Skleroz (MS) ve STK’ların Önemi
- Amaç
Çağımızın önemli halk sağlığı konularından olan Multipl Skleroz (Multiple Sclerosis) (MS), kronik bir hastalıktır.
Multipl skleroz, çoğunlukla genç erişkinleri ve kadınları tutmaktadır.
Multipl skleroz, ataklar (alevlenme) ve iyilik (remisyon, sönümlenme) periyodlarıyla (döngüsüyle) süregiden “otoimmun” olarak kabul edilen bir hastalıktır.
Amacımız; Türkiye’de halk sağlığı yönünden önemi olan MS hastalarının, değişik koşullarda ve ortamlarda yaşadığı sorunların önemini vurgulamak, güncel bilgileri paylaşmak, Sivil Toplum Kuruluşlarının (STK) önemine dikkati çekmek, toplumu ve ilgilileri bilgilendirmektir.
Ayrıca, yazılı ve görsel medya, haberlerinde, kısaca “MS” olarak söz edilen hastalık adının, bu biçimde belirtilmesi, hastalığın önemini, toplum algısını tam yansıtmamaktadır.
Bu nedenle, Multipl Skleroz hastalığının önemi ile ilgili, toplumun ve karar verici çeşitli makamların algısına katkı yapmak için, kısa da olsa bilimsel bilgiler verilmeye çalışılmıştır.
II. Multipl Skleroz Tanımı ve Miyelin
Multipl Skleroz, sağlıklı sinir hücresi (nöron) uzantılarını (aksonlar) “kılıf” gibi saran, “miyelin” denilen yapıyı etkileyen, merkezi sinir sistemini (MSS) (beyin ve omurilik) tutan bir hastalıktır.
Bu nedenle MS, “demiyelizan” hastalıklar içinde de kabul edilir.
- Miyelim Nerede Üretilir?
- Beyin’de, oligodendrosit adı verilen bir tür glia hücreleri tarafından üretilir.
- Çevresel (periferik) sinirlerde, Schwann hücreleri tarafından üretilir.
Miyelin kılıf, sinir hücrelerinin (nöronlar) uzantısı olan aksonları çevreler, destekler ve korur.
Aksonların çevresinde, iletimi sağlayan ve koruyan miyelin kılıftır.
Beyinde, glia hücreleri, nöronlar için destek ve koruma görevi yapan hücrelerdir.
Sinir hücresi olan nöron, çevreden gelen bilgileri, dendiritler yolu ile alır, bu bilgileri her nöronda bir tane olan akson ile hedefe iletir (Fotoğraf 1).

Fotoğraf 1. Sinir hücrelerinin uzantısı olan aksonları saran miyelin maddesi.
https://quizlet.com/tr/865101020/sinir-sistemi-flash-cards/
- Miyelinin Görevi Nedir?
Aksonların miyelin kılıfının görevi: Sinir uyarılarının iletimini korumak ve hızlandırmaktır.
Miyelin, sinir hücreleri (nöronlar) arasında, hızlı bir iletişim sağlar.
Sinir uyarılarının iletiminde ve yalıtımda (elektrokimyasal) görev alır.
Beyin ve çevresel sinir hücrelerinin korunmasında görev alır.
“Miyelin" kavramı, ilk olarak 1854 yılında, Alman Patolog Prof. Dr. Rudolf Virchow (1821-1902, Berlin) tarafından kullanılmıştır (Fotoğraf 2).
MS Hastalığı, ilk olarak, 1868 yılında, Fransız Nörolog Prof. Dr. Jean Martin Charcot, (1825- 1893) tarafından, Paris’te tanımlamıştır (Fotoğraf 3).
Fotoğraf 2. Prof. Dr. Rudolf Virchov (1821-1902, Berlin), Hücresel Patoloji’nin kurucusu.
https://commons.wikimedia.org/wiki/File:PSM_V21_D738_Rudolf_Virchow.jpg
Fotoğraf 3. MS Hastalığını, ilk olarak, 1868 yılında, Paris’te tanımlamış olan, Fransız Nörolog Prof. Dr. Jean Martin Charcot, (1825- 1893).
https://dec.hsls.pitt.edu/download/files/original/f31369baf367307cab6df94401c4842f30266343.jpg
- Miyelinin Yapısı Nasıldır?
Miyelin, % 70 lipid ve % 30 protein içeren bir yapıdadır.
- Türkiye’de Görülme Oranı ve Kadın, Erkek Dağılımı
MS, her yaşta, en çok genç erişkinlerde, “20-40” yaşlarında başlar, yaşam boyu sürer, herkeste görülebilir. Kadınlarda daha yaygındır.
Gebelik ve doğum sonrası; hormonal, immünolojik değişikliklerin etkisi ile klinik gidiş değişebilir.
- 85 milyon nüfuslu Türkiye’de yaklaşık 82.225 MS hastası bulunmaktadır.
- (ICD kodu G35 olan hasta sayısı 201.061, bu kodun en az üç kez girildiği hasta sayısı ise 82.225 olarak belirlenmiştir.)
Toplumda MS oranları şöyledir:
- Türkiye'de MS yaygınlığı (prevalans) 100.000 kişide 96,4 dür.
- Türkiye’de MS görülme hızı (insidans) 100.000 kişide 6,2 dir.
Öztürk B, Taşkıran E, Demir S, et al. Prevalence and incidence of multiple sclerosis in Turkey: A nationwide epidemiologic study. Multiple Sclerosis Journal. 2024;30(7):790-799. doi:10.1177/13524585241245318
- Multpl Skleroz Nedenleri
- Miyelin Yıkımı ve Demiyelinizasyon, MS’a Neden Olur
Genetik, moleküler, bağışıklık (immünolojik), çevresel etkenler ve özellikle stres MS gelişmesine yol açan etkenler olarak bildirilmektedir.
Sonuçta, “Kan Beyin Bariyeri” bozulur.
Kimi bakteri ve virüslerin, bağışıklık sistemi üzerinde etkisi sonucu, ortaya çıkan “antikorların” miyelin kılıflarına saldırısı ve gelişen yangısal olay sorumlu tutulmaktadır.
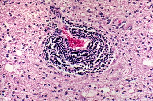
Mikroskopik İnceleme Bulguları
- Miyelin Yıkımı: T hücreleri, beyin dokusu ve miyeline karşı saldırıya geçer, miyelin yıkımı gelişir.
- Yangısal Yanıt: Miyelin yıkımı sonucu; T lenfositleri, B lenfositleri, plazmositler, lipidli makrofajlar, mikroglialar (gliozis) ortama gelir.
- Venler Çevresinde: (Perivenöz) yangı ve plak oluşur (Fotoğraf 4).
- Makrofajlar İçinde Miyelin Artıkları Vardır: “Sudan Black” ve “Oil Red O” ile boyanır.
- Oligodendrogilialar Azalır: Beyin dokusunda, oligodendroglialar (miyelin yapan hücreler) azalır.
- Aksonlarda Bozulma: Nöronların aksonlarında bozulma gelişir ve “ileri evre MS bulguları” oluşur.
- Plakların Görünümü: Ortasında gliosis, ve çevresinde yangısal bulgular izlenir.
- Damarlar Çevresinde; kan-beyin-bariyeri bozulması sonucu, “manşon” gibi yangısal yanıt görülür.

Fotoğraf 4. Mikroskopik görünüm: MS olgusunda, beyin dokusunda yangısal gelişmeye bağlı, damar çevresinde (perivasküler) toplanmış lenfositler, makrofajlar ve çevrede glia hücrelerinde artış görülmektedir.
https://neuropathology-web.org/chapter6/chapter6aMs.html
Yeni görüşler: ”Multipl Skleroz, çevresel etkenler ile tetiklenen genetik mutasyon ile oluşur.”
- Gelişim Basamakları (Plak Nasıl Oluşur?)
İnsanın kendi bağışıklık hücrelerinin, kendi “miyelin kılıfı” ve beyin dokuna yabancılaşması (tanımaması), doku yanıtı oluşması, dokuda yıkım ve incinmeye yol açması, yangısal yanıt (nöroinfilamasyon) oluşması ile “plak” adı verilen demiyelinize ve yangısal “lezyonlar” ortaya çıkar.
Miyelin yıkımı ve demiyelinizasyon; bağışıklık “otoimmun”, metabolizma, genetik, nedenlerle olur
Beyinin sinir uyarılarının iletimi güçleşir.
Sonuçta, miyelin yıkımı, klinik bulgularla kendini gösteren, sinirlerde işlev bozukluğuna neden olur.
Plak ve Lezyonların Etkileri
Doku değişiklikleri oluşan MSS alanına bağlı olarak, beyin, omurilik işlevlerinde yakınmalar, değişiklikler ve klinik bulgular görülür.
- MS Türleri
- Birden gelişebilir: Akut MS (Marburg),
- Göz sinirini tutabilir: Nöromiyelitis optika (Devic),
- Konsantrik sklerozis (Balo).
- Klinik Tanı ve Erken Tanının Önemi
Multpl Sklerozda doğru ve erken tanı önemlidir.
Doğru tanıya ulaşmak için; Hasta öyküsü, yeterli bakı, MR, Laboratuvar sonuçları, Beyin Omurilik Sıvısı (BOS) incelenmesi ile birlikte değerlendirilir.
- MR incelemeleri
MSS’de, “plak” ya da “lezyon” diye tanımlanan alanların bulguları MR görüntülemede görülür.
- Klinik Bulgular
Multipl skleroz hastalığında MSS’nin (beyin ve omurilik) herhangi bir bölgesi tutulabilir.
MS hastalarında, hastalık bulguları çok değişkenlik gösterebilir:
- Yorgunluk, bitkinlik, güçsüzlük,
- Depresyon. en sık görülen nöropsikiatrik belirti depresyondur
- Uyku sorunu, sık görülür, kötü uyku yaşam kalitesini ve sağlığı etkiler.
- İdrar sorunu, sık idrar yapma isteği, mesanenin ta boşaltılamaması, vb.
- Migren ve gerilim başağrısı sıklığı artar.
- Bulanık görme, çift görme, işitme güçlüğü,
- Kaslarda güç yitirilmesi, koordinasyon, denge bozukluğu, vb bulgular görülebilir.
- Hastalığın Başlangıç ve İlerleyen Dönemleri
- Relaps: Başlangıç döneminde, izlenen MS ataklarına “relaps” denir.
- Remisyon: Sonrasında, görülen ataksız, iyilik dönemleri “remisyon” dönemi adını alır.
- Progressif MS: Hastalıkta, ilerleyici bir durum gelişirse “progressif” dönem denir.
- Birincil “progressif” MS: Bu olgularda erken evrede ilerleme (progressif) görülür.
- İkincil “progressif” MS: Daha geç evrede ilerleme görülen MS olgularını tanımlar.
- Bilişsel işlevlerde güçlük: Düşünme, hafıza, odaklanma, öğrenme ve yargılama, vb.
- Multipl Sklerozda Sağlatım
- Sağaltımın Amacı
Klinik bulguların yönetilmesi, düzeltilmesi, atakların (alevlenme) ve ilerlemenin yavaşlatılmasıdır.
Bu amaçla, yangıyı “nöroenflamasyonu” azaltmak ve baskılamak için;
- İmmunosupreassif ve
- İmmun modülatör ilaçlar kullanılmaktadır.
- Bilim dünyasında, yenilikçi MS sağaltımı, ilerleyici “progressif” MS konusuna yoğunlaşmıştır.
- Yenilikçi çalışmalar, temel immünolojik, genetik, klinik deneyimlere önem vermektedir.
- MS’u durdurmak, yavaşlatmak ve düzeltmek için ilaç ve deneysel çalışmalar yapılmaktadır.
- Hangi antikorların miyeline saldıran antikorlar olduğu konusunda değişik araştırmalar vardır.
- Kök hücre sağaltımının, demiyelinizasyon üzerine etkisi araştırma konusudur.
- Sağaltımda, fizyoterapi de çok önemli ve etkilidir.
- MS hastalarının fiziksel, ruhsal ve sosyal “rehabilitasyona” gereksinimi vardır.
- Hangi Besinler Miyelin Yapımı ve Üretimine Katkı Yapar?
- Proteinler: et, balık, yumurta, süt ürünleri.
- Yağlar: zeytinyağı, avokado, fındık.
- Vitaminler: A, B, C, D.
- Sonuçlar
“Erken tanı ve erken tedavi ile engelsiz aktif bir yaşam olanaklıdır’
Multipl Sklerozda, nöron aksonlarının miyelin kılıfı zarar gördüğü için; sinir iletimi bozulur, görme, işitme, kas güçsüzlüğü gibi belirtiler görülür.
Bunun nedeni, beyin ve sinir dokusunda miyelin yıkımı (ve yangı gelişmesi) sonucu Plak oluşmasıdır.
Bu nedenle;
- Özellikle “progressif” MS ‘daki nörolojik ve bilişsel bulguların önlenmesi açısından önemlidir.
- MS gelişmesine ve plak oluşmasına yol açan immuno-patolojik basamaklar ve klinik bulguların daha iyi anlaşılması araştırılmaktadır.
MS ataklarından korunmak için; Sağlıklı beslenme, düzenli uyku ve fiziksel aktivite, ruhsal dinginlik, gergin ortamlardan ve zararlı maddelerden uzak durmak gereklidir.
- STK’ların, MS Derneklerinin ve Polikliniklerin Önemi
Genç erişkinlerde ve kadınlarda daha çok görülen, yaşam boyu süren, kronik ve sosyal bir hastalık olan MS hastalığı ile ilgili yapılacak olan çalışmalarda;
- Sağlık Bakanlığı, Belediyeler, Üniversiteler, Aileler, hasta çevresi yanı sıra,
- Toplumsal çabaya ve Sivil Toplum Kuruluşlarının (STK’ların) liderliğine gereksinim bulunmaktadır.
Dünya MS Günü (30 Mayıs)
Uluslararası Multipl Skleroz (MS) Federasyonu ve Dünya Sağlık Örgütü tarafından her yıl Mayıs ayının son Çarşamba günü Dünya MS Günü olarak kabul edilmiştir.
Türkiye’de MS hastalığına yönelik bilimsel ve toplumsal etkinlikler ve STK’lar şunlardır:
- Türk Nöroloji Derneği (Kurucu Başkan: Prof.Dr. Kaynak Selekler)
- Türkiye’nin önemli bilim derneklerinden biri olan Türk Nöroloji Derneği’nin, Multipl Skleroz, Nöroimmunoloji, Nöromodülasyon alanlarında Çalışma Grupları bulunmaktadır.
- Türk Nöroloji Derneği, 61. Ulusal Kongresi, 13-17 Aralık 2025’de yapılmıştır.
- Türk Nöroloji Dergisi (Editör: Prof. Dr. Kaynak Selekler; 1995-1999)
- Avrupa Nöroloji Akademisi'nin (EAN) Ortak üyesidir.
- Türk Nöroloji Derneği MS Çalışma Grubu
Moderatörler; 2001–2004 Prof. Dr. Aksel Siva, 2009–2012 Prof. Dr. Rana Karabudak, 2013–2018 Prof. Dr. Egemen İdiman, 2019–2024 Prof. Dr. Hüsnü Efendi, 2024 Prof. Dr. Cavit Boz.
- MULTİPL SKLEROZ TANI VE TEDAVİ KILAVUZU (Editörler: Dr. Hüsnü Efendi Dr. Demet Yandım Kuşcu,) 2018 ISBN: 978-605-89294-9-4 Galenos Yayınevi, İstanbul, 2018.
- Ege Üniversitesi Tıp Fakültesi Nöroloji Anabilim Dalı MS ve Demyelinizan Hastalıklar Polikliniği
“Türkiye’deki ilk ve öncü MS merkezlerinden birisi Ege Üniversitesi’nde”
“Türkiye’deki öncü MS merkezlerinden EÜTF Nöroloji Anabilim Dalı Multipl Skleroz ve Demyelinizan Hastalıklar Polikliniği;” “MS’un, tanı ve sağaltımı açısından uluslararası düzeyde çalışıyor.”
“Türkiye’nin ilk MS merkezini
1978 yılında Prof. Dr. Bedriye Kot (Fotoğraf 5) kurmuştur. “
“O dönemde Uzman olan Prof. Dr. Egemen İdiman ile birlikte MS polikliniği fizyoterapist, sosyal hizmet uzmanı, psikolog, vb geniş kadro ile ilk hizmetini vermiştir.” “ 2 bine yakın hasta kayıtlıdır.“
Fotoğraf 5. Prof. Dr. Bedriye Kot (1924 - 2010). Ege Üniversitesi Tıp Fakültesi Nöroloji Anabilim Dalı (1958) ve MS ve Demyelinizan Hastalıklar Polikliniği’nin (1978) Kurucusu.
Türk Nöroloji Derneği: https://noroloji.org.tr/menu/228/prof-dr-bedriye-kot-2010
chrome-extension://efaidnbmnnnibpcajpcglclefindmkaj/https://drkirbas.com/wp-content/uploads/2015/02 /2_Hocalarimiz.pdf
- İzmir Multipl Skleroz (MS) Derneği
- İzmir Multipl Skleroz (MS) Derneği, 1988 yılında, Dokuz Eylül Üniversitesi Tıp Fakültesi Nöroloji Anabilim Dalı Öğretim Üyesi Prof. Dr. Egemen İdiman liderliğinde kurulmuştur.
- “İzmir MS Derneği’nin, fizyoterapi, havuz terapi, yoga, psikoterapi ve el sanatları etkinlikleri düzenli yapılmaktadır.” in(Fotoğraf 6).

Fotoğraf 6. Dokuz Eylül Üniversitesi Tıp Fakültesi Nöroloji Anabilim Dalı Öğretim Üyesi Prof. Dr. Egemen İdiman’ın liderliğinde 1988 yılında kurulan İzmir MS Derneği, Narlıdere’de kendi yerde hizmet vermektedir.
- Türkiye Multipl Skleroz Derneği (Kısa Tarihçe)
- “Türkiye Multipl Skleroz Derneği, … MS hastaları, hasta yakınları ve uzman hekimlerin ortak çabalarıyla 1989’da kurulmuştur.”
- Derneğin ilk merkezi Cerrahpaşa Tıp Fakültesi’nde olup, “İstanbul Multipl Skleroz Derneği” adı ile çalışmaya başlamıştır.
- 1990’da Mecidiyeköy’e taşınmıştır.
- 1992’de, Türkiye’yi uluslararası alanda temsile başlamış, “Türkiye Multipl Skleroz Derneği” adını almıştır.
- 1993’de, “Kamu Yararına Dernek” olarak tescil edilmiştir,
- 1993’de, Uluslararası MS Dernekleri Federasyonu (Londra, MSIF) üyesi olmuştur.
- 1994’de, ilk şubesini Ankara’da, 2013 yılında ikinci şubesini, Gaziantep’te açmıştır.
- 2011 yılında Şişli’deki yeni binasına taşımıştır (Fotoğraf 7,8).
- Türkiye MS Derneği, hastaların fiziksel güçlükleri aşması, ileri ülkeler düzeyinde bakımı için, Türkiye’nin en kapsamlı “Rehabilitasyon ve Rekreasyon Merkezini Şişlide açmıştır.”
- Mimarlık ve işlevsellik açısından ABD ve AB’deki kurumlar gibi, MSIF’nun danışmanlığında, “eksiksiz” bir MS Merkezi tasarlanmış, resmi açılışı 15 Kasım 2012 günü Şişli’de yapılmıştır.
Fotoğraf 7,8. Türkiye MS Derneği’nin Şişli, İstanbul ‘daki merkezi ve bir örnek çalışması.
- İstanbul Üniverstesi Tıp Fakültesi Nöroloji Anabilim Dalı Multipl Skleroz ve Miyelin Hastalıkları Birimi
Bu Birimde 5000 MS hastasının izlemi yapılmaktadır.
“MS ve demiyelinizan hastalıklar: yataklı servis ve ayaktan poliklinik hizmeti yürütülmektedir.”
- Türk Dünyası Multipl Skleroz (MS) Araştırma Destekleme Derneği
(2021, Kurucu Başkan: Prof. Dr. Ceyla İrkeç)
Türk Dünyası Multipl Skleroz (MS) Araştırma ve Destekleme Derneği, Şubat 2021’de Ankara’da kurulmuştur: Başkan: Prof. Dr. Ceyla İrkeç, Prof. Dr. Şeref Demirkaya (B. Yrd), Prof. Dr. Canan Yücesan, Doç. Dr. Semra Mungan Öztürk (G. Sek), Av. Cevahir Leyla Sipahi (Saym.), Doç. Dr. Gürdal Orhan, Doç. Dr. Berna Arlı.
Uluslararası Türk Dünyası Multipl Skleroz Kongresi’nin ilki, 14-17 Şubat 2019’da (Fotoğraf 9) yapılmıştır.

Fotoğraf 9. Türk Dünyası Multipl Skleroz (MS) Araştırma ve Destekleme Derneği Şubat 2021’de kurulmuş, İlk Kongresini ise, 14-17 Şubat 2019 günlerinde Ankara’da gerçekleştirmiştir.
Türkiye’deki diğer MS Dernekleri;
Adana, Afyonkarahisar, Bursa, Eskişehir, Karadeniz, Doğu Karadeniz, Kartal, Kayseri, Kütahya MS dernekleridir.
Sonuç olarak, Türkiye’de SB, Belediyeler, Üniversiteler yanı sıra;
- Türk Nöroloji Derneği (1964),
- İzmir Multipl Skleroz (MS) Derneği (1988),
- Türkiye Multipl Skleroz Derneği (1989,1992)
- Türk Dünyası Multipl Skleroz (MS) Araştırmalarını Destekleme Derneği (2021) bulunmaktadır.
Türkiye’deki MS Dernekleri ve ilgili tüm STK’ların; duyarlı, emekleri ödenmez Bilim insanları ve Hekimlerin liderliğinde, bilimsel ve sosyal alanlarda özveri göstererek, bilgiyi paylaşarak, MS hastalar adına katkı yapmak, sağlık sorunlarına, uygar dünya düzeyinde çözüm üretmek için çalıştıkları görülmektedir.
Türkiye, Cumhuriyet’in 2. yüzyılına girdiği günümüzde;
- Tıp ve sağlık alanındaki 100 yıllık birikimini,
- Yetişmiş insan gücünü,
- Daha iyi biçimde yönetmesi ve
- Topluma tanıtmasının önemi
- Güncel olarak bir kez daha ortaya çıkmaktadır.
Görsel ve dijital teknolojinin, her şeyi anında gördüğü bir dünyada, “yaşamsal” ve MS gibi süregen hastalığı olan insanların, yakınlarının yaşadığı sorunlara karşı, daha çağdaş dünya ölçüsünde bir tutumla yaklaşmak, hem “hasta hakları”, hem de “insan hakları” açısından gereklidir.
-----------------
Kaynak
Akyıldız EÜ, Sav AM. Myelin hastalıkları (Disorders of myelin). Türkiye Ekopatoloji Dergisi 2004;10 (1-2):43-48.
Öztürk B, Taşkıran E, Demir S, et al. Prevalence and incidence of multiple sclerosis in Turkey: A nationwide epidemiologic study. Multiple Sclerosis Journal. 2024;30(7):790-799. doi:10.1177/13524585241245318